枚方市長尾・藤坂・津田周辺の歯医者さん/あゆみ歯科クリニック長尾 歯周病治療
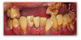
なんだこれは!と思われるかもしれませんが、これは重度の歯周病にかかった患者さんの口の中の写真です。上の歯はほとんど抜け落ち、残っている下の歯も歯石まみれでグラグラです。忙しかったり、痛みがなかったのでまあいいかと20年来歯医者にいかないまま放っておいたら、前歯が抜けてしまって見た目がかっこ悪いということで来院されました。
え?痛くないの?と思いませんか?実際患者さんに尋ねてみると、腫れたりして痛い日もあったけど、だいたい次の日にはなんともなくなったので大丈夫だと思ったとのことでした。
この中で虫歯は非常に小さいものがたったの2本だけ。歯周病は虫歯のような痛みがでにくいので、患者さんが気づかないままどんどん進んでしまう恐ろしい病気なのです。
そもそも歯周病という病気がなんなのかがわかりにくいと思います。
歯肉炎や歯槽膿漏といった言葉もあり余計ややこしいものになっています。
歯ぐきの中には骨(歯槽骨)が入っています。歯には根っこがあり、根っこの周りを硬い骨がしっかりホールドしてくれているので、押したりしても揺れることなく植立されているのです。
歯には汚れがつきます。ネギが挟まっているとか目に見えるものだけではなく、細かい汚れもたくさん付着しています。こういった細かい汚れのことをプラーク、歯垢と呼びます。
プラーク(歯垢)は歯磨きをすることで簡単に除去できます。しかし、全ての汚れを完璧に取り去ることはできません。歯ブラシの届きにくい場所もありますし、歯垢が歯の色と似ていることもありどうしても取り残しが出てしまいます。
プラークの中には様々な細菌が含まれており、この中には虫歯菌(ミュータンス菌)だけでなく、歯周病菌も含まれています。歯周病菌は歯に穴をあけることはできませんが、そのかわり、歯ぐきの中の歯槽骨を破壊する力を持っています。歯周病菌によって破壊された歯槽骨は上の方からどんどん減っていき、それにつられて歯ぐきも下がって行ってしまいます。
そして歯周病が進んでいってしまうと、それまで歯を4方からガッツリホールドしてくれていた歯槽骨が1壁、また1壁と崩されていき、グラグラと安定を失い、やがては抜け落ちてしまうのです。
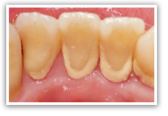
下の前歯の裏側を鏡で見てください。普段歯医者に行かない方には歯の根元に写真のような白い塊が付いている可能性が高いです。これは歯石と呼ばれ歯の汚れ(歯垢、プラーク)が固まって(石灰化)しまったものです。この歯石自体には病原性は無いとされていますが、その表面は歯と比べるとザラザラで、歯石の周りには新たな汚れ(歯垢、プラーク)が付着しやすくなっています。
歯周病は歯垢の中に含まれる歯周病菌が原因なので、歯石の周りに多くの歯垢が付着すること、歯石が着いて形が複雑になり歯垢の除去が困難になることで歯周病が進行しやすくなるため、歯石が歯周病最大の原因と考えられています。
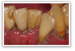
歯石にも2つのタイプがあります。歯ぐきより上側(歯冠側)についている歯肉縁上歯石と歯ぐきより下側(歯根側)についている歯肉縁下歯石です。
歯石は縁上歯石からつき始め、そこからさらに汚れがたまると縁下歯石も着いていきます。
縁上歯石は乳白色をしており、比較的柔らかいものですが、縁下歯石は茶褐色?黒色で非常に硬いものになっています。
みなさんが普段肉眼で見て、歯石と呼んでいるものは歯ぐきよりも上にある縁上歯石になります。
縁下歯石は歯周病の真の原因と考えられています。歯ぐきの中(歯周ポケット内)に存在する縁下歯石は非常に強固に歯に付着していて除去が困難であり、歯周病菌は偏性嫌気性菌に分類され空気の少ないところが大好きです。
周ポケット内は空気が少なく歯周病菌が増殖するには絶好のコンディションです、ただでさえ歯ブラシの届きにくい歯周ポケット内をさらにデコボコで汚れがたまりやすい状態にする歯肉縁下歯石が真の歯周病の原因といえるのです。
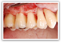
歯周病の治療法は歯石とりです。歯石とりには主に2種類あり上記の縁上歯石をとることを目的としたものと縁下歯石をとることを目的としたものがあります。
まず縁上歯石をとることを目的とした歯石とり。スケーリングなどと呼ばれ、超音波スケーラーという機械を使用し歯石を除去していきます。この治療は歯医者に行ったことのあるほとんどの方がうけたことがあると思います。
歯の表面に付着した歯石や汚れを超音波による微細な振動で浮き上がらせ、水で洗い流すことで歯石を除去していきます。
歯周病治療の第一段階です。
よく痛い、しみるといったイメージを持たれがちですが、これは超音波振動による発熱や注水された水が当たってしみています。痛いから歯に傷がついているのかと心配されることもありますが、適切な歯石除去を行っていれば超音波スケーラーによって歯につく傷は歯ブラシや歯磨き粉によってつく傷と大差ありません。
続いて縁下歯石の除去。SRP(スケーリングルートプレーニング)と呼ばれ、超音波スケーラーではなく、手持ちのスケーラーを使用します。第2段階ですね。

ほとんどの方はスケーリングとSRPで歯周病は改善、安定していくのですが、治療後も症状が改善しない、歯を失う可能性がある重度の歯周病の方は歯周外科と呼ばれる治療を行うことがあります。
歯周病治療の第3段階です。
読んで字のごとく外科治療になります。歯周病最大の原因と言える歯肉縁下歯石は歯周ポケットの中に存在するので直視下で除去することはできません。手の感覚でその位置を探り除去しているので、取り残しは必ずと言っていいほど起きてしまいます。多少の取り残しがあっても通常の歯石量や歯周病の進行度であればそれが原因で歯周病が悪化したりは起こりませんが、もともとの歯石が多かったり、すでに歯周病がかなり進行してしまっている場合は取り残しをさらに少なくしなければなりません。
歯ぐきをメスで切り、一度はがして中をむき出しにすることで、直視下にて歯石除去が可能になり、SRP後わずかに取り残した歯石も取りきることができます。
一度失ってしまった歯槽骨は大きな回復は期待できません。
しかし一部分に限局した歯周病であれば再生療法によって大幅な歯槽骨の回復を期待できます。
歯周外科を行う際に骨のなくなった部分にエムドゲインというコラーゲン繊維を填入すると、歯槽骨や歯根膜といった歯周組織に置き換えられていきます。
前述した通り歯周病になっても痛みが出にくく、虫歯のように穴があくこともないので、歯周病にかかっていることに患者さん自身が気付くことはまずありません。
そして歯周病の病態のわかりにくさも相まって、「あなたは歯周病ですか?」ときかれても「わからない」という方がほとんどではないでしょうか?
日本臨床歯周病学会は歯周病のセルフチェックとして以下の項目を挙げています。
- 朝起きた時口の中がネバネバする。
- ブラッシング時に出血する。
- 口臭が気になる。
- 歯肉がむずがゆい、痛い。
- 歯肉が赤く腫れ上がっている。
- 固いものが噛みにくい。
- 歯が長くなったような気がする。
- 前歯が出っ歯になったり、歯と歯の間に隙間がでてきた。食物が挟まる。
特にうえの3つはほとんどの方が経験があるのではないでしょうか?つまりほとんどの方が歯周病にかかっていると言っても過言ではないのです。
現に日本人の約8割が歯周病に罹患しているという調査もあり、歯周病は人類史上最も感染者数の多い感染症としてギネス・ワールド・レコーズに掲載されるほどです。
成人されているほとんどの方は歯周病にかかっている、と思ってもらったほうがいいでしょう。上のチェックリストの3つと言わず、1つでも当てはまっている人は一度歯医者さんを受診してみてください。
歯医者さんで歯石とりをしたことがある方は、その前に歯ぐきの検査といって細い棒状の器具で歯ぐきをチクチクされたことがあると思います。これはプロービングといって歯周病の進行度を検査しています。
歯周病が進行すると歯ぐきの中にある歯槽骨が溶けてしまいます。歯周ポケット内にプローブと呼ばれる細い棒状の器具を滑り込ませると骨がどこまで無くなっているのかがわかります。
健康な人では歯と歯ぐきの隙間(歯周ポケット)にプローブはほとんど入っていきません(1〜2ミリ程度)
しかし歯周病がすすんで骨がなくなってしまうとプローブが骨に当たって止まることがないので歯周ポケット内にどんどん入っていきます。もう抜けてしまいそうな歯にこの検査を行うと10ミリ以上入ることもあるのです。
プロービングはスケーリング、SRP、歯周外科の各段階に入る前に行い、何ミリ入るかをみていきます。スケーリング後も数値が改善しなければSRP、SRPで改善しなければ歯周外科といった様に段階を踏んでいくのです。
ちなみに保険診療で歯石とりを行う場合、このプロービング検査をしなければ歯石とりできないとルール決めされています。
歯周病は歯を失う原因の第1位で、その42%を占めています。
一本ぐらいまあいいか、と感じるかもしれませんがそこから色々と問題が起き始めます。歯が抜けたら入れ歯やインプラントで代用可能ですが、噛み合わせが変わったりすることで他の歯に負荷がかかり全身の不調など様々な問題を引き起こします。
何度も書きますが、歯周病は痛みを感じることが少ない疾患になっています。患者さんがご自身で歯周病の進行に気付くことはまずありません。痛くなってから歯医者に行くが大多数を占める日本の文化では自分が歯周病になっているにもかかわらず、気付くことなく放置し重症化するケースが多くなっています。
歯周病は口臭の最大の原因と言えます。歯周病菌をシャーレ上で培養するととてつもない不快なニオイを発します。口臭も自身では慣れのため気付きにくいと言われていますので、知らず知らずのうちに周囲の人に不快な思いをされている、なんてことにならないように歯周病菌を減らしておくことが大事です。
また、歯ぐきからの出血も歯周病のサインです。歯磨きした後にブラシに血が付いているようであれば大なり小なり歯ぐきに炎症が起こっています。血が出てるけど痛くないから大丈夫か、ではなく症状が軽い内に歯石とりをしましょう。
歯周病が全身疾患(口以外のからだの病気)に悪影響を及ぼすことがわかってきています。
- 心筋梗塞・狭心症
- 心筋梗塞や狭心症は動脈硬化により血管が詰まって心臓に血液供給が出来なくなってしまい、死に至ることもある疾患です。
主な原因は不適切な食生活、運動不足、ストレスなどが挙げられますが、最近では歯周病菌も心筋梗塞や狭心症に影響があることもわかってきています。
歯周病菌の刺激で動脈硬化を誘発する物質が放出され血管が細くなっていきます。
- 心筋梗塞や狭心症は動脈硬化により血管が詰まって心臓に血液供給が出来なくなってしまい、死に至ることもある疾患です。
- 脳梗塞
- 同様の原理で脳梗塞のリスクも高まります。
歯周病に罹患している人はそうでない人の3倍近くも脳梗塞になりやすいという研究結果もあります。
- 同様の原理で脳梗塞のリスクも高まります。
- 糖尿病
- 糖尿病と歯周病は相互に悪影響を及ぼしあいます。つまり糖尿病の人は歯周病が悪化するし、歯周病の人は糖尿病が悪化するのです。
これは歯周病菌の細胞壁に含まれる内毒素(エンドトキシン)によるもので、歯周病菌が血管の中に入ると全身に回っていってしまいます。
細菌自体は体の免疫でやっつけることができるのですが、内毒素は残ってしまうのです。
血液中の内毒素は肝臓や脂肪からのTNF-αの産生を促進します。このTNF-αはインスリン(血糖値を下げるホルモン)の働きを邪魔します。
歯周病菌があるせいで血糖値を下げることができなくなり、結果糖尿病が悪化するのです。
- 糖尿病と歯周病は相互に悪影響を及ぼしあいます。つまり糖尿病の人は歯周病が悪化するし、歯周病の人は糖尿病が悪化するのです。
- 誤嚥性肺炎
- 誤嚥とは食べ物や異物を飲み込む際、誤って気管や肺へと送ってしまうことをいいます。
誤嚥した時に食べ物と一緒に歯周病菌を肺に送ってしまい起こる肺炎を誤嚥性肺炎と呼びます。
通常肺や気管は物が入ってくると咳き込むことで異物を排除できますが、高齢の方はそういった機能が衰えていることも多く、 また免疫力も衰えている方が多いので誤嚥性肺炎になりやすいと言われています。
命に関わることも多いのでしっかりとした口腔ケアを行うことが大切です。
- 誤嚥とは食べ物や異物を飲み込む際、誤って気管や肺へと送ってしまうことをいいます。
- 低体重児早産
- 歯周病菌が原因で低体重児や早産のリスクが高まることもわかっています。歯周病菌が血液中に入り胎児が直接感染するのでは?
とも、糖尿病と同様に歯周病菌がだす炎症性物質が子宮を収縮させる作用をもっているからとも言われます。
妊娠中は酒、タバコはNGとよく聞きますが、早産や低体重児に関しては歯周病はお酒、タバコのなんと約8倍のリスクがあると言われています。
また妊娠中はホルモンバランスの変化により通常より少ない汚れでも歯周病が進行しやすくなります(妊娠性歯周炎)し、つわりなどで歯磨きが困難になりやすいです。
産まれてくる赤ちゃんのためにも一度歯医者さんを受診しましょう。
- 歯周病菌が原因で低体重児や早産のリスクが高まることもわかっています。歯周病菌が血液中に入り胎児が直接感染するのでは?
とも、糖尿病と同様に歯周病菌がだす炎症性物質が子宮を収縮させる作用をもっているからとも言われます。
一度歯医者さんにいって確認してもらうことをおすすめします。




































