枚方市長尾・藤坂・津田周辺の歯医者さん/あゆみ歯科クリニック長尾 矯正歯科治療について
誰もが矯正と聞くとワイヤーを歯に貼り付けているところを想像するでしょう。しかし、その装置は多岐にわたり、なかには外科手術をともなうものや、装置は使わず舌や口を動かすトレーニングで治すものまで様々です。
矯正治療に対して多くの方は、キレイな歯並びになって見た目がよくなることを期待しています。
歯並びがよくなるのはもちろんですが、他にもさまざまな効果があるのです。
歯並びを治すことでそういった箇所を磨きやすくし、結果ムシ歯や歯周病のリスクを大きく下げることができます。
矯正治療をすることで噛み合わせがよくなるとしっかりと食事がとれるようになって消化がよくったり、肩こりが治ったり、認知症予防になったりといった全身の健康への影響があると言われています。
また、噛み合わせがよくなることで、姿勢や表情もよくなり外見もよくなります。
そういったことで自分に自信が持てるようになります。やはり自分に根拠ある自信をもつ人は輝いて見えます。恋愛や就職といった人生の重要な場面で矯正をしたことで恩恵をうけることが沢山あります。
一般的によく歯並びが悪いと言われるのがこの叢生です。
顎に歯を並べるためのスペースが十分に無く、歯がズレて生えてきてしまい、全体的にガタガタとした歯並びになってしまいます。
よくガチャ歯とか乱杭歯と呼ばれており、犬歯(上の3番目の歯、糸切り歯)が外側に大きくはみ出してしまう八重歯も叢生の一種です。
多くの患者様は見た目を気にして来院されますが、叢生は見た目だけでなく、歯を磨きにくいことでムシ歯、歯周病のリスクが高まったり、噛み合わせが悪いことで歯に無理な力がかかってしまい、結果歯を失うことが早まってしまったりもします。
最も大きな原因は「顎の小ささ」にあると言えます。
駐車場の例えがよく使われますが、3台分の枠がある駐車場に4台車を停めなければいけないとすると、無理やり詰めて停めてもどうしても1台は枠からはみ出してしまったりします。
歯の大きさにはそれほど個人差がないにもかかわらず、顎の大きさはモデルさんのような方から格闘家まで人それぞれです。どうしても顎が小さい人は歯を並べるスペースが不足し、後から生えてくる歯が枠からはみ出して生えてしまうのです。
- 見た目が悪い
- 八重歯がかわいいといった意見もありますが、やはりキレイな歯並びに比べると見劣
りすることが多いでしょう。 - ムシ歯になりやすい
- 叢生の叢の字は「くさむら」とも読み、入り組んだ歯並び故に歯磨きが非常に困難になります。
そのせいでムシ歯や歯周病のリスクが高まります。
- 叢生の叢の字は「くさむら」とも読み、入り組んだ歯並び故に歯磨きが非常に困難になります。
- 歯への負荷が大きい
- それぞれの歯がみんなで協力して噛む力を負担しています。歯並びが悪いとどこか一部の歯に噛む力が集中してしまい、結果歯への負担が大きくなってしまいます。
いわゆる「すきっ歯」のことです。
歯と歯の間に外から見てわかるほど隙間が空いていることをいいます。
患者さんの多くは上顎中切歯(上の一番手前の歯)間の隙間を気にされて来院されます(正中離開といいます)。奥歯と奥歯の間に隙間があった場合も空隙歯列であり、不正咬合のひとつ含まれます。
あまりにも隙間が大きいと歯抜けのような印象を受けてしまい見た目が悪くなったり、中途半端なサイズの隙間だと食べカスが挟まって(食片圧入)しまったりします。
- 顎が大きい、歯が小さい
- 叢生の時とは逆に顎のサイズが大きすぎたり、極端に小さい歯(矮小歯)の場合はすきっ歯になってしまいます。
- 悪習癖がある
- 指しゃぶりや舌を前に出す、口呼吸するといった悪習癖(クセ)があるとその時かかる力によって少しずつ歯と歯の間に隙間が出来ていってしまいます。
- 舌が大きい
- 舌を前に出すクセがなくても、舌が大きい人は自動的に同じことが起きてしまい、少しずつ隙間が出来ていってしまいます。
- 上唇小帯が長い
- 上唇小帯とは上くちびるをめくった時にピローンとなるスジ状の粘膜で、これが長いと永久歯に生え変わる時に前歯がそこを避けるように生えてきてしまい、結果前歯がすきっ歯になります。
- 過剰歯がある
- 過剰歯とは通常よりも多く存在する歯のことです。
上の前歯の間に発生することが多く、過剰歯を避けるように前歯が生えてしまうため、すきっ歯になりやすいです。 また、過剰歯は歯茎の中に埋まっていることが多く、レントゲンを撮らないと気付けないことがほとんどです。
- 過剰歯とは通常よりも多く存在する歯のことです。
- 歯が少ない
- 先天欠如といって、生まれつき永久歯が一部存在しない方がいます。 乳歯が抜けた後もそこに永久歯が生えてこないので、結果隙間が出来てしまいます。下の前歯や上下第二小臼歯(前から数えて5番目)でよく起こります。
- 見た目が悪い
- 大きな空隙になってくると歯抜けのようにみえてしまうことがあります。
- ムシ歯リスク
- 途半端に隙間があくと食べ物がちょうど挟まってしまい、ムシ歯になりやす
いです。
- 途半端に隙間があくと食べ物がちょうど挟まってしまい、ムシ歯になりやす
開咬とは奥歯がしっかり咬み合わさっているにもかかわらず、前歯が咬まず隙間が空いてしまう不正咬合です。
一見歯並びがキレイな方でも起こりうるものなので、自覚がないことが多いです。
開咬は悪習癖や口呼吸、遺伝的な顎の形が原因でおこり、噛み合わせても上下の前歯が当たらないため噛み切れなかったり、奥歯ばかりで噛むため奥歯に大きな負担がかかりやすくなります。
- 悪習癖がある
- 指しゃぶりや舌で前歯を押すクセがあると開咬になりやすいです。
- 口呼吸
- 口呼吸していると口周りの筋肉が弛緩し、歯を定位置に押さえておく圧力がかからなくなってしまい、開咬に繋がります。
- 遺伝
- 開咬に限った話ではありませんが、不正咬合には遺伝的素因が関係しているケースも多く見られます。
- ムシ歯、歯周病
- 上下前歯が閉じ切らないため、口が乾燥してしまいがちです。その結果ムシ歯や歯周病、口臭などを引き起こしやすくなってしまいます。
- 胃腸障害
- 前歯で物を噛み切ることができないので消化不良をおこしやすくなります。
- 嚥下障害
- 嚥下とは食べ物を飲み込む行為のことですが、開咬の方は舌の位置が定まりにくく、飲み込みが上手くいかないことが多いと言われています。
- 発音障害
- 発音する際に隙間から空気が抜けてしまうため発音が困難になります。
- 歯や顎への負担
- 奥歯でしか噛んでいないので、大きな負担が集中します。歯や骨へのダメージだけでなく、顎関節症を引き起こす原因となります。
過蓋咬合は開咬とは逆に上下前歯の被りが大きすぎる不正咬合です。
下の前歯に上の前歯が少し被る程度が正常ではあるのですが、過蓋咬合の場合、かみ合わせると上の前歯で下の前歯が隠れて見えなくなってしまうほどです。
過蓋咬合も開咬と同様に一見歯並びはキレイなのに実は…というケースが多く、開咬のように隙間があいているということもないので、一般の方はまず自分の歯並びが悪いということに気づけません。
重症の方になってくると、噛んだ時に下の前歯が上顎の裏側(口蓋)に突き刺さり傷ができてしまうこともあります。
過蓋咬合は上下の歯のひっかかりが強くなってしまうため、他の不正咬合と比較しても顎関節症を引き起こしやすいと言われています。
- 乳歯を早期に失った
- 早い時期に乳歯を失うと永久歯の生え変わりに支障が出て、歯にかかる負
担のバランスが狂い、噛み合わせが深くなっていくと言われています。
- 早い時期に乳歯を失うと永久歯の生え変わりに支障が出て、歯にかかる負
過蓋咬合になると前述のように歯ぎしりや咀嚼をした際、上下の歯が通常より強く引っかかるため、顎へのダメージが強くなり顎関節症を誘発しやすくなります。
※開咬や過蓋咬合は歯の並びがキレイな人でもなることが多く、気づかないまま年齢を重ねてから症状がでることも多いです。
もちろん矯正治療で治すこともできますが、まずは上記した不正咬合の原因になるものを子供のうちから取り除いてあげることで矯正治療にならず済むこともあります。
ぜひ一度歯医者さんにいって、歯並びや噛み合わせに問題がないかどうか確認してもらって下さい。
いわゆる「出っ歯」と呼ばれる状態です。
顔を横から見た時に上の前歯が下に比べ大きく前に出てしまっています。
上顎前突には2パターンあり、奥歯は正しく咬めているのに上の前歯が前方に傾斜してしまっているせいで出っ歯に見えるケース(歯性上顎前突)と、骨格的にズレてしまっていて出っ歯になるケース(骨格性上顎前突)とがあります。
後者は通常の矯正治療では並びがキレイになっても、噛み合わせがおかしくなってしまうようなこともありますので慎重な判断が必要です。重症例では外科的な手術が必要な場合もあります。
- 悪習癖
- 指しゃぶりや下くちびるを噛むクセがあると、次第に上の前歯が前方に傾斜していき上顎前突になります。
- 呼吸
- 歯は表側からはくちびるの圧力、裏側からは舌の圧力がかかっており、そのバランスが保たれることによってずっと同じ位置に立っていることができるのです。
これをバクシネーターメカニズムというのですが、どちらかの圧力がなくなってしまうと、次第に歯は圧のかからない方へと倒れていってしまいます。
口呼吸はずっと口が開いているためくちびるからの圧力がかからず、歯が前方へ傾斜してゆきます。
- 歯は表側からはくちびるの圧力、裏側からは舌の圧力がかかっており、そのバランスが保たれることによってずっと同じ位置に立っていることができるのです。
- 遺伝
- 親子で顔が似るように骨格も遺伝的な素因が影響すると言われています。
親兄弟はもちろん、親族にこのような歯並びの方がいる場合は注意が必要です。
- 親子で顔が似るように骨格も遺伝的な素因が影響すると言われています。
審美障害や口呼吸が原因の場合は乾燥によるムシ歯、歯周病リスクが高まります。
上顎前突(出っ歯)とは逆に下顎が前に出てしまう不正咬合です。
よく「受け口」とか「しゃくれ」などと呼ばれます。
上顎前突以上に遺伝による影響が大きいといわれており、重症例では咀嚼(噛む)、嚥下(飲み込む)、発音などを大きく阻害します。
下顎前突も上顎前突と同様に軽度であれば矯正治療で改善可能ですが、骨格的な異常が大きい場合は外科手術が必要になることがあります。
前述の通り遺伝によるところが大きいですが、下顎を前に出したりするクセがあると余計に下顎
の成長が促進されてしまいます。
上顎前突(出っ歯)以上に噛むことが困難になったり、顎への負担がおおきくなったりしやすいです。その結果全身への悪影響や顎関節症につながります。
ブラケットとワイヤーを装着して行う矯正治療です。 一般に矯正と聞くとこのタイプを想像される方が多いかと思います。
主に大人の方の矯正でよく使用されます。第二大臼歯が生えきる15歳頃からスタートになる治療法です。
ブラケットと呼ばれる器具をそれぞれの歯に装着し、形状記憶のワイヤーを通していきます。
ガタガタな歯ならびなのでワイヤーもガタガタに曲がりますが、形状記憶ワイヤーが元に戻ろうとする力で歯も一緒に正しい方向へと導かれていきます。
100年以上の歴史を持つ治療法ですので、治療の確実性が高く、問題が発生した時の対処法も確立されています。
しかし、透明といっても全く見えない訳ではありませんし、ブラケットを装着することで歯磨きが困難になるというリスクもあります。
床矯正装置とよばれる装置を使う子ども(小学生)用の矯正治療です。 乳歯列期である6〜10歳頃が対象となります。
大人の矯正と違い、歯を動かすのが目的ではなく、顎の成長を補助することを目的とした治療です。
歯並びが悪くなるのは「顎に歯が並ぶスペースがない」が大きな原因と言われています。
装置の中央にネジが付いていて、ネジを回すと装置が横に広がり、成長期の子どもの顎の発達を補助してくれます。
顎が大きくなるといっても、歯を並べるために必要なスペースは数ミリ程度なので、矯正をしたせいで顔が大きくなってしまうという心配はありません。
顎にスペースを作ることで自然といい位置に永久歯が萌出するよう誘導します。
だいたい7割ぐらいの方がこの小児期の矯正だけで正常な歯並びを獲得することができます。
生まれつきの歯の向きなどでどうしても並びきらない場合は永久歯が生えきるのを待って(14〜15歳)成人矯正へと移行してゆきます。
小児矯正だけで終われれば金額面やブラケットを使用しない点で有利ですし、成人矯正に移行した場合も抜歯矯正になるリスクを低減させることができます。
当院で治療を受けられる場合は差額で成人矯正に移行できますので、矯正治療を行っていくなかでの「予備動作」のようなイメージです。

現在の歯型から理想の歯並びをシミュレーションして、ゴールまでの各段階のマウスピースをたくさん作ってきます。
順次マウスピースを装着することで少しずつ歯を動かしていきます。
ワイヤーを使用しないため、パッと見では矯正しているのがわからないのが最大の特徴で、ワイヤー矯正だと見た目が気になる方にオススメです。
また、着脱可能なため、清掃性が高く装置を入れているせいでムシ歯になってしまうリスクを大きく下げることが可能です。
一方、着脱できるせいでサボってしまうと予定通り進まないことがあるなど、根気がいる治療になります。
型取りした歯型をメーカー側に送り、コンピュータでシミュレーションしてもらうので、矯正治療終了後の歯並びがイメージしやすく、大体の治療期間も先に知ることができます。
| 価格 | 調整料 | 期間 | 見た目 | 清掃性 | 確実性 | 年齢 | |
|---|---|---|---|---|---|---|---|
| 成人矯正 | 70万円 | 3,300円 | 1〜2年 | △ | △ | ◎ | 14歳〜 |
| マウスピース | 70万円 | 3,300円 | 2〜3年 | ◎ | ◎ | ○ | 14歳〜 |
| 小児矯正 | 30万円 | 3,300円 | 1〜2年 | △ | △ | ○ | 5〜10歳 |
| 成人矯正 | マウスピース | 小児矯正 | |
|---|---|---|---|
| 価格 | 70万円 | 70万円 | 30万円 |
| 調整料 | 3,300円 | 3,300円 | 3,300円 |
| 期間 | 1〜2年 | 2〜3年 | 1〜2年 |
| 見た目 | △ | ◎ | △ |
| 清掃性 | △ | ◎ | △ |
| 確実性 | ◎ | ○ | ○ |
| 年齢 | 14歳〜 | 14歳〜 | 5〜10歳 |
決して安い額ではありませんが、歯磨きが簡単になり虫歯治療にかかる費用を抑えることができたり、健康になり寿命が伸びたり、就職が上手くいったりといった、治療後に得られる結果を考えれば投資する価値があるのではないでしょうか?

痛いところもないのに歯医者に行くのもなあ、と思われる方も多いでしょうが、少しでも歯並びがきになるなら一度歯医者さんに相談してみるのが一番です。
まずはお電話にてご予約をお取りください。
「歯ならびの相談がしたい」
とお伝えいただければご予約をお取りいたします。

初回からいきなり矯正治療がスタートするワケではありません。 本当に矯正しなければならないのか、治療費、期間、痛みなど不安なこともいっぱいでしょう。
そういった不安を解消するためにも、矯正治療を希望される方は、まず矯正無料相談というものを受けていただきます。
まず、矯正治療に必要な資料(レントゲン写真や歯型の型取り、お口の中の写真)をとらせていただき、それを元に次回の診療時に、矯正治療の必要の有無、当院での治療が可能かどうか、期間、費用、矯正治療を行う上でのメリットやリスクを説明させていただきます。
また、矯正を行う前に治しておいたほうがいいムシ歯や歯周病がある場合は、まずこちらを優先します。
※矯正の内容説明自体には料金はかかりませんが、レントゲン撮影や歯石とりには保険の料金がかかります。

無料相談を受けて、しっかりと内容を理解し、当院での矯正治療にご同意頂けるようであれば、いよいよ矯正治療開始です!各治療法にあった矯正装置を装着します。
小児矯正(床矯正)やマウスピース矯正(インビザライン)の場合は型取り(無料相談時のものより精密にとります)と装置のおわたし、成人矯正の場合はブラケットを一気に装着するのが困難なので、2〜4回の通院に分けて装着していきます。
装置をつけた直後は痛みが出たり、発音が難しくなったりしがちですが、数日で慣れてきますのでご安心ください。

治療開始後は月に1回のペースで調整に来院してください。装置が壊れていないか、正しい方向に歯が動いているかを確認します。
2年前後の治療期間になる方が多いので、その間ムシ歯になったりしないようしっかりと清掃を行ってください。

歯医者側から見ても問題なく、患者様、ご家族の方にも満足いただける状態になったところで矯正装置を外します。


装置が外れる=終わり ではありません。 動いた歯たちはなんとか元の位置に戻ろうとします。これを後戻りといいます。
完全に元にもどってしまうようなことはまずありませんが、矯正して何年かしたらなんだかまた歯がガタガタになってきたという話をきいたことがあるかもしれません。
マウスピースを使ったり、歯の裏にワイヤーを接着することで後戻りを防止することができます。
これを保定といい、可能な限り長く保定していただき、きれいな歯並びになった状態を維持していきましょう。
歯並びがよくなった後は、ガタガタだった頃と比べて格段に歯磨きがしやすくなることでしょう。
しかし磨きやすくなったからといって手を抜いてしまうと、せっかくキレイになった歯並びでもムシ歯になってしまっては意味がありません。
矯正は終わってからが勝負です。ただキレイに並んだ、そこでおしまいではなく、美しく健康なお口の環境を生涯維持していく、そのサポートをすることが私たちの喜びです。

そこで実際の矯正治療の症例を見てみましょう。
あゆみ歯科クリニック長尾の受付をしている田中明美さんも高校生のころに矯正治療を受けています。
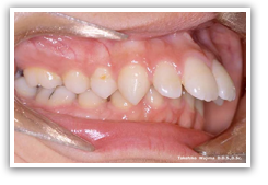
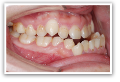
初めて歯医者さんに来た時の田中さんの歯ならびがこちらです。 うん、ガタガタですね。
いわゆる叢生(そうせい)と呼ばれる状態です。
顎が小さく歯が並ぶためのスペースが不足しており、後からはえてくる歯が仕方なく内側や外側にズレて生えてしまっています。
左上の前歯が後ろに行きすぎて見えなくなってしまう程ですし、下の前歯もガタガタしています。
叢生と呼ばれるはならびは見た目のインパクトが強いので「こんな状態からキレイになるのかな」と矯正に踏み出せない方も
多いようです。
田中さんも後ろに行って見えなくなってしまっている歯はさすがに治らないだろうと矯正を諦めていたようですが、お友達が矯正治療を受けてキレイな歯並びになったのを見て自分も矯正治療を受けたいと強く思うようになりました。
しかし当時の田中さんはまだ高校2年生、高い治療費を自力で払うのは不可能です、しかし矯正治療のことをお父さんに相談してみたところ「これから先の人生のことを考えれば・・・」と治療に賛同してくれたそうです。
いよいよ矯正治療の始まりです。
まず上下左右の第一小臼歯を抜いています(便宜抜歯)
現在は歯を抜かない矯正(非抜歯矯正)が人気ですし、当院でも極力抜かずに矯正することを推奨していますが、田中さんのケースでは歯を抜かなければキレイに歯が並ばないと判断し、抜歯を行いました。
ブラケットを装着し、ワイヤーを通していきます。ブラケットがついた直後は唇に角が当たって口内炎になったりしやすいので、3回の通院に分けて装置をつけていきました。
問題の左の前歯は引っ張り出そうにも両隣の歯との間に隙間がなさすぎて出てきません。
そこで両隣の歯との間にコイルスプリング(バネのような装置)を装着し、隙間を押し広げていけるようにしています。
この後は月1で通院し、ワイヤーをどんどん太い(力強い)ものに交換していきます。
矯正が始まってすぐや、新しいワイヤーに交換したあと数日間は歯が動く痛みに悩まされましたが、何日かで違和感なく生活できるようになったそうです。
田中さんは毎月サボらず調整に来てくれて、途中ブラケットが外れた時にもその日のうちに来院してくれました。
矯正中によく起こるアクシデントとしてはブラケットが取れてしまったり、歯が動いたせいでワイヤーの端が飛び出し歯ぐきに当たって痛むことがあります。
そういったことが起きた場合は放っておかず一度歯医者に電話してみてください。
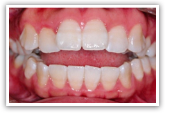
治療から8ヶ月目の写真です。
予想よりもかなり早く歯が動いてきています。後ろにあった左上の前歯も正常な位置に動いてきていますね、もうぱっと見は完成しているように見えますね!見違えるような美しい歯並びになってきています!!
しかし実はここからが長いんです。今は歯の位置が動いただけで、まだそこに固定されていません。
よく患者さんからも「キレイになったんだから装置を早く外してほしい!まだですか?」と聞かれることがあります。田中さんも正直もう外してほしいと思っていたそうです。
しかし歯が固定される前に装置を外してしまうと、歯はなんとかして元の位置に戻ろうとします(後戻り)。歯を動かした量が大きければ大きいほど後戻りしやすいと言われており、長い人だと理想の歯ならびになったあと、1年近くワイヤーをつけ続けることがあります。
また、写真をよくみるとスペースを作るために抜いた歯の部分がまだ閉じ切っていません。
ここで装置を外してしまっては一見キレイな歯ならびに見えても歯抜けになってしまいますし、しっかりと噛むことができません。
見た目と機能性両方を治すのが矯正治療の目的なのです。
このあとパワーチェーンと呼ばれるゴムで引っ張って歯と歯の隙間を閉じていきます。
ゴムで閉じることで先ほどの隙間もなくなり、いよいよ矯正治療が完了します。
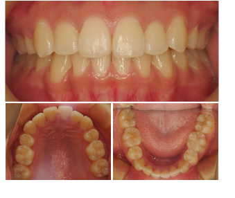
歯医者から見ても見た目、機能性ともに問題なく、田中さん、ご家族ともに満足な結果になったためブラケットを外していきます。
治療開始から1年と7ヶ月でキレイな歯ならびになりました。
治療前は2年以上かかるかな、と予測していましたが想像以上に早く治療が完了しました。
高校卒業前に矯正を終了することができました。
このあとは後戻りを防ぐため、マウスピースによる保定に入ります。
マウスピースをしなくても元どおりになってしまうようなことはありませんが、1年ほど経った時に「なんだか少し歯の位置がズレてきたような」ということになってしまいます。
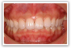
矯正治療をしたことでこんなにもキレイな歯ならびになりました。
今まで歯ならびが気になってしゃべるときに口元に手を当てたり、写真に写るのが苦手だったという田中さんですが、治療後は写真を撮るときも思いっきり笑顔で映れるようになったそうです。
また、顔の輪郭がシュッとしたのでより自分に自信が持てるようになったそうです。
そして、高い治療費を自分のために快く払ってくれたご両親に深く感謝し、そのありがたさを知ることができたそうです。
矯正治療を終えて田中さんはひとつの決心をします。
「歯医者さんで働こう」
彼女は高校卒業後あゆみ歯科クリニックに就職しました。
矯正治療で大きく人生が変わった、矯正に踏み出せない人たちにその良さを伝えていきたい。
かつて自分が友達の矯正に勇気付けられたように…。








































