枚方市長尾・藤坂・津田周辺の歯医者さん/あゆみ歯科クリニック長尾のむし歯・無痛治療について
2016年調査の高校生のう蝕罹患率(虫歯がある、もしくは治療した歯がある者の割合)は約53%。
高校生の2人に1人は虫歯になった経験をもっています。
予防歯科という言葉がごく一般的になった現在であってもこの結果です。20年前のこの調査の結果、はなんと90%!!現在40歳以上の人で虫歯になったことがないという人はほとんどいないのかもしれません。
しかしほとんどの人が虫歯になったことがあるにも関わらず、なぜ虫歯になるのか、放っておくとどうなるのか、どうやって治すのか、何となくしか知らない人が多いのではないでしょうか。
なぜ虫歯になるのかときかれると、甘いものを食べたから、歯磨きの仕方がわるかったから、と考える方が多いでしょう。しかし、チョコレートが歯に穴を空けるわけではありませんし、歯さえ磨いていれば虫歯にならないわけでもありません。
まず何故歯に穴が空く(虫歯になる)のか。簡単に言うと口の中にいる虫歯菌(ミュータンス菌)は食べ物の中に含まれる糖分をエサにして酸をだします。この酸が歯を溶かしていき穴が空くのです。
つまり、虫歯菌だけでも砂糖だけでも虫歯にはなりません、この2つが揃って初めて虫歯ができあがるのです。
- エナメル質
- 歯の表面はエナメル質と呼ばれる硬い組織で覆われています。人体で最も硬い組織ですが、虫歯菌の作る酸によって溶かされ穴があいてしまいます。
- 象牙質
- エナメル質の内側にある硬組織、エナメル質に比べると硬さが劣ります。
この内側には歯の神経(歯髄)があり、象牙質は歯髄と繋がっています。そのため虫歯やエナメル質が欠けたことで象牙質が露出し刺激を受けると、歯髄に刺激が伝わり痛みを感じます。
- エナメル質の内側にある硬組織、エナメル質に比べると硬さが劣ります。
- 歯髄
- 歯の中に入っている神経で、歯の知覚を司ります。熱い、冷たい、触られたといった刺激を受けるとすべて「痛い」と感じるようになっています。
冷たいものがしみたり、虫歯を削ると痛いのはこの歯髄があるからです。
- 歯の中に入っている神経で、歯の知覚を司ります。熱い、冷たい、触られたといった刺激を受けるとすべて「痛い」と感じるようになっています。
- 歯根膜
- 歯は歯ぐきの中の骨(歯槽骨)に植わっていますが、完全に骨と繋がっているわけではなく歯根膜とよばれるゴムのような細い繊維を介して繋がっています。
歯に圧力がかかると歯根膜が知覚し、ゴム状なのでショックを吸収することができます。
歯の神経を取った後、治療開始が遅れたり、治りが悪いとこの歯根膜まで炎症が及び、噛むと痛みが出るようになります。
- 歯は歯ぐきの中の骨(歯槽骨)に植わっていますが、完全に骨と繋がっているわけではなく歯根膜とよばれるゴムのような細い繊維を介して繋がっています。
2016年調査の高校生のう蝕罹患率(虫歯がある、もしくは治療した歯がある者の割合)は約53%。
高校生の2人に1人は虫歯になった経験をもっています。
予防歯科という言葉がごく一般的になった現在であってもこの結果です。20年前のこの調査の結果、はなんと90%!!
現在40歳以上の人で虫歯になったことがないという人はほとんどいないのかもしれません。
しかしほとんどの人が虫歯になったことがあるにも関わらず、なぜ虫歯になるのか、放っておくとどうなるのか、どうやって治すのか、何となくしか知らない人が多いのではないでしょうか。
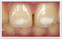
歯の表面が破壊され始めるとまず白っぽく変色(白濁)していきます。
ムシ歯ではありますが、歯に穴があいていないこの時期はまだ歯を削る必要はありません。また、子供で生えて間もない歯であればフッ素塗布などにより再び元に戻る(再石灰化)ことも期待できます。
エナメル質だけに限局している非常に小さなムシ歯で、奥歯の噛み合わせ面の溝が少し黒くなっていることがよくあります。 冷たい水を飲んだり、硬いものを噛んでも痛みがでることはほとんどありません。そのため患者さん自身がムシ歯に気ずきにくい状態です。
エナメル質部分だけを削るので、削っても痛みが出にくいと言われており、この時期の小さなムシ歯であれば白いプラスチックで埋めて治せるケースが多く、早期発見が大切になります。
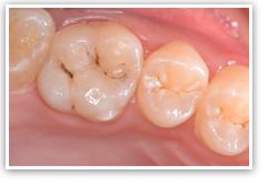
象牙質にまで達する中ぐらいのムシ歯です。 このサイズになってくると、普段は何も違和感もありませんが冷たい水を飲むとしみるような痛みを感じることが多くなります。
治療の際には象牙質を介して歯の神経(歯髄)に刺激が伝わるため、あの歯を削る時特有の痛みが出やすいです。
中くらいのサイズになってくるので強度の面から部分的な銀歯やセラミックで修復していくことが多くなります。
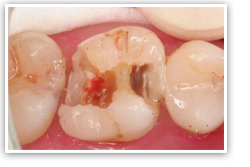
C2の状態でも普段は痛みが出ないので、まあこんなものかと放っておくとムシ歯は神経にまで到達します。 この時期は激しい痛みを伴います。何もしなくても痛い、噛むと痛い、夜も眠れないほど痛い。おそらく歯関連の痛みで最も強いのがこの時期でしょう。これは虫歯の穴が大きすぎて歯の神経がむき出しになってしまい、今までは象牙質を介してやってきた刺激が神経に直接あたえられ、神経が激しい炎症を起こすからです。
こうなってしまうと痛みを抑えるために仕方なく神経をとるという治療になります。神経の治療は数回かかることが多く、治ったあとは基本的に歯の外周をぐるっと覆うタイプの銀歯やセラミックで治します。
治療費は高く、治療期間も長く、歯の予後も悪くなってしまうので、歯に痛みを感じたらこうなってしまう前に一度歯医者さんに相談することをお勧めします。
激しい痛みを伴うC3、しかしその痛みも1日程度でだいぶマシになってきます。 これは治ったのではなく、歯の神経が1日かけて完全にやられてしまい何も感じなくなってしまっただけ。痛くなくなったから放っておこう、となってしまうとそのあとはムシ歯がすすんでいってしまい、歯の形がどんどん崩れてゆきます。
これはもう「削る」では対処できない状態であり歯を「抜く」ことになってしまいます。
大きなムシ歯で抜歯になるケースは抜歯自体が大変になることが多く、失った場所を補う方法も、入れ歯、ブリッジではデメリットを含みますし、インプラントでは治療費が高くなってしまいます。
痛みを伴うようなムシ歯が自然に治ることはありません。痛みが治まったとしても、必ず歯医者さんで治療してください。

虫歯を削って穴があいたらそこを埋めていく必要があります。
前歯の虫歯や奥歯の小さめな虫歯はレジンとよばれる歯と似た色の樹脂で修復します。最初は軟らかい素材ですが、光をあてることで固まっていき。基本的に一度の来院で治療が完了します。

奥歯(前から4番目以降の歯)の中程度以上の虫歯はインレーと呼ばれる部分的な銀歯で修復します。
保険治療でも上記のコンポジットレジンで大きな虫歯を治すことは不可能ではありませんが、強度の面から推奨できません。→奥歯を保険で白くしたい
奥歯の大きな虫歯を白く治したい場合、十分な強度をもったセラミックインレー(自費治療)で修復することをおすすめします。
神経をとった歯は歯の全周を覆う銀歯で修復します。
神経の治療を行った歯は、神経と一緒に歯に水分や栄養を送り込んでくれる血管も抜いてしまっており、非常にもろくなっています。
ここに部分的な修復(インレー修復)をすると薄くなった歯の一部が割れてしまい、最悪抜歯になってしまうこともあるので、歯の外周をがっつり金属で覆って補強する修復法が取られます。

もちろん保険治療であっても前歯に銀色の歯が入ることはなく、前から三番目の歯までは銀歯の表面に白いレジン樹脂を貼り付けた、硬質レジン前装冠で修復可能です。
また、神経を取ってもろくなった歯にはコアとよばれる補強用の土台をいれます。
大きな虫歯のせいで神経を取ることになっているので、神経の治療が終わった時には歯は図のようにかなり小さくなっています。
ここにそのまま被せ物(クラウン)を入れようと思っても、引っ掛かる場所が少なく装着することができません、そこでコアとよばれる土台を入れる(プラモデルのジョイントのようなもの)ことで歯の形を補強し、そこに被せ物をつけていくのです。
クラウンもインレーと同様にセラミックで白く作ることができます。(自費治療)
例えば、患者さんに「歯の神経をとったことがありますか?」と尋ねると、多くの方が「わからない」「多分とったと思う」と曖昧な答えになられます。中には歯を抜いたことと勘違いされている方もおられます。
なぜ神経を取らなければならないのか、どのような治療なのか、神経をとった歯はどうなるのか、そういったことを伝えないまま、もしくは理解できないまま治療が進んでいってしまうことが多い結果、このような曖昧な答えにつながっていると言えます。
神経をなぜ取らなくてはならないのか?それは「今ある激しい痛みをとるため、もしくは虫歯を取りきると激しい痛みがでてしまうため」です。
上記のように虫歯が大きくなりすぎて歯の神経(歯髄)がむき出しになったり、神経がダメージを受け続け強い炎症を起こすことで→C3痛み止めが効かない程の激しい痛みを引き起こします。
この痛みを取り除くためには虫歯の部分を削っただけでは効果がありません。神経が歯の知覚(痛覚)を司っているので、その神経を取り除いてしまえば痛みを感じることはなくなります。
虫歯はドリルで削ってとりますが、神経はドリルで削っても取ることはできません。
歯の根っこの中まで神経は詰まっており、非常に細い場所なのでドリルは届きません。
リーマー、ファイルとよばれる針金のような器具でガリガリと神経を取っていきます。
痛かったけどマシになったので放っておいたなどの理由でこの初回治療の開始が遅れると、細菌が歯の向こう側(歯根膜や歯槽骨)にまで波及し炎症を起こして、神経を取って激しい痛みが消えた後も噛むと痛い、叩くと痛いという症状が続きます。
この症状が出てしまうと炎症が収まるまで待たなければならず、ひたすら歯の中の消毒を繰り返すことになります。私たち歯医者にも治るまで何回かかるか正確にはわからない厄介な状態です。
痛くもないのにずっと歯医者に通院して終わらないという話を聞いたことがあるかもしれませんが、こういった方のほとんどは神経の治療を受け難治化している状態です。
歯の中の汚れや神経の残りカスなどを完全に除去し、清潔な状態を維持できれば、叩いて痛い、噛むと痛いといった症状が消えていきます。ここではじめて神経の治療が治ったと呼べます。
異常ない状態になった歯は再び細菌が侵入してくることのないよう、ガッタパーチャとよばれるゴム質のお薬で密閉します。(根管充填)
これを聞くと痛いところはもう神経を取ってしまえばいいじゃないか、と考えてしまいそうですが、これは大きな間違いです。神経を取った歯は、神経がある歯に比べて寿命が短くなる傾向が非常に強いということがこれまでの研究からわかっているのです。
なぜ神経を取ると歯の寿命が短くなるのか?その理由をいくつか挙げてみましょう。
神経の治療を受けたことがある方にはこんな経験があるかもしれません、神経を取ったあと数年間何事もなく過ごせていたのに、ある日突然歯ぐきが大きく腫れ上がり、痛みで目がさめた。神経がない歯なのになぜ!?と。
これは神経の治療後、歯の中にわずかに残っていた細菌が増殖し、歯ではなくその周囲にある歯根膜や歯槽骨(歯ぐきの中の骨)に激しい炎症が起きてしまっているのです。
神経の治療を行ったあと、残念ながら現在の技術では歯の中を「無菌」にすることは不可能です。多少の細菌が歯の中に残っていても体には免疫力があるので問題なく過ごすことができます。しかし、体調が悪かったり、歯に強い刺激が加わったり、治療した際に多くの細菌が残ってしまっていたり、といった理由で免疫力が細菌に勝てなくなってしまうとこのような結果になります。
こうなった場合は再び被せ物を外して歯の中の消毒をやり直さなくてはなりません。
しかしこの「神経の再治療」、あまり予後がよくありません。ある論文では神経の治療をした歯が5年間問題なく過ごせる確率を調べていますが、「初めて神経を取った歯」は90%以上問題なく過ごせているのに対し、「2回目以降の神経の再治療をした歯」は65%程度しか治らないという結果が出ています。
再治療歯がすでに細菌の侵食を大きく受けていること、再治療の際すでに装着されている被せ物やコア、中に充填されているガッタパーチャを除去することが非常に困難なことが、治癒率を悪化させていると言えます。
歯の神経の治療は普通の削って埋めるの虫歯治療と比べて、治療の内容が患者さんに理解しにくいものになっているように感じます。
例えば、患者さんに「歯の神経をとったことがありますか?」と尋ねると、多くの方が「わからない」「多分とったと思う」と曖昧な答えになられます。中には歯を抜いたことと勘違いされている方もおられます。
なぜ神経を取らなければならないのか、どのような治療なのか、神経をとった歯はどうなるのか、そういったことを伝えないまま、もしくは理解できないまま治療が進んでいってしまうことが多い結果、このような曖昧な答えにつながっていると言えます。
奥歯であっても小さいサイズの虫歯や歯と歯の隙間を含まないタイプの虫歯であればコンポジットレ
ジンで修復しても問題ありません。
一方、大きな虫歯、歯と歯の隙間を含むタイプの虫歯であっても保険のコンポジットレジンによる修復は認められてはいます。しかし強度の面から推奨はできないものになっています。
こういった場所をコンポジットレジンで修復すると、噛む力に負けて歯とレジンの間にわずかな隙間ができてそこから虫歯が広がります。目で見てもわからない程度の隙間であり、詰め物が外れたり、痛みが出ることも少ないので、歯医者さんも患者さんも気づくことのないまま虫歯が進行してしまい、レントゲンを撮影した際にたまたま気づいて手遅れなんてことになりかねません。
奥歯でサイズが大きい、隙間を含む虫歯は部分的な銀歯で治すことが推奨されます、ここを白い歯で治療したい場合はレジンより強度の高いセラミック(保険適応外)で修復することをおすすめします。
治療直後は歯の神経に刺激が加わり、多少のダメージを受けた状態になっています。
ダメージを受けた直後の歯は小さな刺激であっても反応しやすく(知覚の亢進、知覚過敏)なっており、特に銀歯は温度が伝わりやすく(熱伝導率が高く)なっているので、装着直後はしみやすくなっています。
このしみは数週間かけて消えていくことがほとんどです。歯が神経を刺激から守ろうとして第二象牙質と呼ばれる新しい象牙質を作り、神経(歯髄)に刺激が伝わりにくいようにしてくれるからです。
ちなみに万一虫歯の取り残しがあっても銀歯が入ってしまうと、それが原因ですぐに痛みが出ることはありません。
・激しくしみる
・噛むと痛い
・熱いものもしみる(熱いものがしみるのは冷たいものがしみるより重症です)
・装着して1ヶ月経ってもしみる
そういった症状がある場合は、虫歯が大きすぎて神経が限界になっていて神経の治療をしなければならない、銀歯がきっちりと入っておらず隙間が出来ているなどの可能性が考えられますので、不安な場合は一度歯医者さんにご相談ください。








































