枚方市長尾・藤坂・津田周辺の歯医者さん/あゆみ歯科クリニック長尾のインプラント治療について
みなさん『インプラント』をご存知でしょうか?また、どのようなイメージをお持ちでしょうか?
歯科におけるインプラントは失った歯を補う欠損補綴方法の一つで、チタン製の人工歯根を歯茎の中の骨に埋め込み、その上に人工の歯を装着するものです。
失った自分の歯が帰ってきたかのような、現代における最高の欠損補綴方法といっても過言ではないインプラントですが、多くの方は『怖い』『高い』『危ない』といったイメージをお持ちなのではないでしょうか?
約10年前に端を発したメディアによるインプラントバッシング、ネガティブキャンペーンによって真偽の定かではない情報が氾濫し、まるでインプラントは悪者かのようなイメージが広まっていきました。
もちろん様々な面をもった治療法ではありますが、当院なりの見解を示していこうと思います。
インプラントバッシングで最もフューチャーされたのがインプラントの危険性です。
インプラントは外科手術が必須の治療なので当然、出血や腫れ、痛みを伴う可能性があります。
これはインプラントに限った話ではなく、抜歯や歯周病治療、虫歯治療でも同様に起こる可能性があるものです。また、出血や腫れ、痛みは生体が治癒に向かうために必然のものでもあると考えます。
インプラントでもっとも危険なトラブルは血管や神経の損傷です。
インプラントを埋入する骨の中やその周囲には神経や大きな血管が走行しており、手術中にそれらを損傷すると大出血や知覚麻痺を起こす可能性があります。
これらを回避するにはCT等を使った診査診断や解剖学的形態の把握が重要になります。
当院ではインプラント治療を行う前には必ずCT撮影、模型診断を行い、安全にインプラント治療が行える状態かを診断してから手術を行います。
手術時には徹底した感染対策を取った上で、わずかなズレも起こらないようガイデッドサージェリーを行なっております。
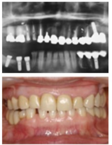
あゆみ歯科グループでは10年間で約○○本のインプラント治療を行ってきましたが、事前の診査と無計画、無謀な治療を行わないことを徹底してきたことで、一度も血管損傷による大出血や神経損傷による知覚麻痺を起こさずに現在に至っております。
インプラントバッシングのブームが去り、患者さんから「インプラントってよくないんでしょう?」と言われることはかなり減ってきたように感じます。
しかし「インプラントがいいのはわかるけど値段が…」といわれることがよくあります。
インプラント治療の相場は1歯約30万円程度かと思います。
金銭感覚は人それぞれではありますが、決して安い治療でないことは確かです。
インプラントが高額な治療である理由として
- 保険が効かないこと
- 材料費が高いこと
- 高い技術知識が必要なこと
などが挙げられます
まずは保険が効かない点ですが、現行の日本の医療保険制度には一般的なインプラント治療は含まれておりません。保険診療では国がめ決めた治療方法を決められた治療費で行なった場合に、治療費の一部を国や地域、所属する企業などが支払ってくれるようになっています。
一般的には7割を各種保険が支払ってくれて残りの3割を患者さんが自己負担金として支払うシステムになっています。
インプラントやセラミック治療、矯正治療など、保険診療に含まれていない歯科治療は自費診療、自由診療となり、各医院ごとに自由に価格設定ができ、治療費は全額患者負担となります。
例えば一番手前の前歯1本を失ってしまったと想像してみてください。
インプラントで治療した場合は先ほど書いたように約30万円が相場となります。
ブリッジで治療していく場合セラミックを使ってよりキレイにより長持ちするようにと考えると、保険適応ではなくなり相場1本10万円が3本分で30万円前後になることが多いです。
ブリッジには保険適応のものもあり銀歯の表面に白いプラスチックを貼り付けたものになります。
こちらは3割負担の患者さんで約3万円で治療を受けることができます。
先述した7割を保険機関が支払ってくれていることを考えると、実際の治療費は10万円近いものになります。
これらのことからもインプラントだけが高額というわけではないことがわかっていただけるかと思います。
続いて材料費。
インプラント治療は歯のついたネジを骨の中に打ち込む、と思われがちですが実際は異なります。
チタン製の人工歯根(フィクスチャ、インプラント体)を骨内に埋入し、その後型を取って作製したセラミックなどの人工歯を装着して完成となります。
まずこのインプラント体の仕入れだけで1本数万円します。人工歯、セラミックの部分も材料費、そして一流の技工士に依頼しているため技工料もかかってきます。
さらにはインプラントとセラミックの接続パーツ(アバットメント、スクリュー)、型取りの際に使用するパーツ(印象用プラグ)、型取りに使う素材(シリコン印象材)、型を模型に起こすためのパーツ(技工用アナログ)などなど、一本のインプラント治療にも数多くのパーツや材料が必要になります。
またインプラントにも数多くのメーカーが存在し、当院では世界最大シェア、最高品質を誇るstraumann社のインプラントシステムを使用しています。メーカーによるインプラント生存率の差を研究した論文なども発表されており、そこでは喫煙者、非喫煙者の差以上にインプラントメーカーによる差の方が大きい可能性まで示唆されていました。
当然最高クラスのブランドですので、各パーツの値段も高価なものが多くなっています。
そして技術や知識、経験の面です。
え?そこに費用が?と思われるかもしれませんが、我々歯科医師は何だかんだいっても技術職です。
歯科医師は海外ではDoctor of dental surgeryという資格で呼ばれます。歯科治療は虫歯治療であれインプラントであれ、すべて外科手術と考えられているからです。
そう考えるとより技術、知識、経験のある先生の治療を受けたいと思いませんか?
しかし例えば保険診療は基本的にどこで誰が治療しても同じ治療費になります。
研修医上がりの新人の先生の治療も、世界的名医の治療も同じ値段になるのです。それは少し違和感をおぼえませんか?
一方で自費診療、自由診療は各医院、各歯科医師が治療費を決めるので必然的に技術、知識、経験豊富な医院の方が治療費は高くなる傾向があります。
あっちの歯医者の方が安かったからそっちにしよう、と思いたくなってしまいがちですが、値段だけで安易に決めてしまうのは少し危険かもしれません。
特に極端に治療費が安い場合はそれ相応の理由があると思った方がいいでしょう。
例えば先述したインプラントメーカー。
世界には約100社のインプラントメーカーが存在し、日本国内は30社程度が使用されていると言われています。
インプラントは虫歯になることはありませんが数十年にわたり口の中で機能し続ける上で、何らかのトラブルに遭遇する可能性は大いにあります。
その時もし患者さんの転居や歯科医院の閉院でインプラント治療を受けた歯科医院に通院できなくなってしまった場合、マイナーなメーカーのインプラントだと部品の規格の違いなどでトラブルを改善することすら困難になってしまうことがあります。
インプラントメーカーには4大ブランドと呼ばれるものがあり
Straumann社 |
Nobel bio care社 |
Zimmer社 |
Astra tech社 |
がその四つです。
このインプラントメーカーの製品の質がいい、というのももちろんですが、それ以上に、多くの歯科医院で取り入れられているものだからトラブルが起きた時にも対応可能であったり、メーカーが倒産したりするリスクが少ないのもいい点で、値段は高いですがやはりこういったメーカーから選ぶべきだと考えます。
保証期間の有無も治療費に影響している可能性があります。
インプラント治療後にも何らかのトラブルは起こり得ます。
上部構造体(セラミック)が割れたり、ネジが緩んできたり、ひどい場合はインプラント体が抜け落ちるような事例もあります。
多くの歯科医院では自費治療に対して保証期間が設けられています。
当院では治療後5年以内にそういったトラブルに見舞われた場合補償で治療し直させていただくシステムを取っています。
しかし極端に安価なインプラント治療にはこの保証期間がなかったり、短かったりする可能性があります。
そして、自費治療は先述した通り各医院、各歯科医師の自由設定です。多くの場合はその歯科医師の知識、技術、経験に応じた治療費に設定されていると言われています。もちろん出来る限り多くの人にインプラントという素晴らしい欠損補綴治療を受けてもらうために、より良い治療を出来る限り安価で、という考えもあります。
しかし、インプラント治療は歯科医師なら誰でも出来る、というものではないのが実情です。
おそらく入れ歯やブリッジの治療を希望して歯科医院に行き「それは難しい治療なのでウチではできません」と言われることはほとんどないでしょう。
厚生労働省の発表する2014年医療施設(静態・動態)調査によるとインプラント手術は24,438施設で行われたそうです。これは全国に68万件あると言われる歯科医院の35%に相当します。
つまり3軒に1軒しかインプラントができる歯医者さんは存在しないのです。その中でも技術、知識の豊富な歯医者さんであるためには相当な努力が必要となります。
仕事が終わって疲れていてもそこから模型や豚の骨を使って練習し、休日を返上して数十万円を払って学会や勉強会に参加し、より高度な知識や技術を習得する。
そこまでやってやっと人並みにインプラント治療ができるようになるのです。
費用、時間、体力、様々なものを削って猛烈な努力の末に得た技術や知識だからこそ、必要以上に安売りする必要はないと考えています。
親知らずの移植や矯正治療で失ったスペースを閉じるなど特殊なパターンは存在しますが、多くの場合は
入れ歯 |
ブリッジ |
インプラント |
の3つの方法で治療していくことになります。
治療法を説明していく前に、よくある歯を抜いたあと放置してしまったパターンのお話をします。
歯を抜く理由で最も多いのは歯周病です。
公益財団法人8020推進財団の2018年の調査では永久歯の抜歯の原因として
歯周病(37.1%)う蝕(29.2%)
破折(17.8%)
が三大理由を占めていました。
しかし歯周病では歯が複数本抜けるということを考えると、一人の人間が初めて歯を失うことになる原因としてはう蝕(虫歯)や破折の方が多いのではないかと推測でき、個人的な臨床感覚でもそう感じております。
歯を失ったことがない方にはイメージしにくいかもしれませんが、歯が1本なくなっても放置してしまう方が多いようです。
当院に初診で来院して歯がないまま放置している方に理由を聞くと
奥歯で見えないから、無くても食べれるから、入れ歯を入れたが使えなかった
といった意見が多いです。
中には前の歯医者さんがそのままでいいと言ったという方も時々おられます。
確かに歯が一本なくなって急に食事が摂れなくなるかというとそうではないようです。
しかし、歯がなくなったところをそのまま放置していると、噛み合う反対の歯(下の歯が抜けているなら上の歯)が伸びてきてしまったり、後ろの歯がって前に倒れこんできたりしてしまいます。
そうなると噛んだ時にその場所が一番あたることになるのですが、ゆっくりと歯が移動していくこと、人間の慣れる能力が高いことから気がつかなかったり、知らず知らずのうちに噛む場所をずらしたりしてしまいます。そうすると別の場所が真っ先に当たるようになり(早期接触、咬頭干渉)、歯に小さな亀裂が入り虫歯になりやすくなったりと、ゆっくりと口の中全体を崩壊させていくことにつながってしまいます。
歯がなくなったところの隣の歯の10年後の生存率を調べた研究(残っているかどうか、虫歯になったとかは関係ない)では歯の欠損を放置した場合は81%という結果が出ています。
ちなみに部分入れ歯は56%、ブリッジは92%、インプラント100%という結果になっています。
こう見ると放置しても10年後に80%も隣の歯が残っているじゃないか、と思ってしまいそうですが、隣以外の歯にも悪影響があることを考えると、やはり欠損の放置というのはあまりにも危険なことかと思います。
ではここからは入れ歯とブリッジの特徴について説明していきます。
部分入れ歯と総入れ歯がありますが、ここでは部分入れ歯についてお話ししていきます。
部分入れ歯(パーシャルデンチャー)は残っている自分の歯に金具を引っ掛けて装着する義歯となっています。
後述するブリッジと異なり歯を大きく削る必要がなく、着脱可能であることが特徴となります。
着脱が面倒、金具やパーツの異物感が強い、入れ歯をするのは精神的に嫌といった理由で敬遠されがちな治療法ではあります。
隣の歯を大きく削る必要がないので、一見歯には優しそうに見えますが、先述の研究では部分入れ歯の両隣の歯の10年後の生存率は56%。他の治療法に比べて大きく劣っています。
ここまで低いのは歯周病などでたくさん歯を失った人が部分入れ歯を選択することが多いので、入れ歯を作った時点で隣の歯の状態が悪かった可能性も考えられます。
では1本だけ歯を失って、両サイドの歯の状態が良ければ部分入れ歯でも良いのか?と言われるとそうではありません。
部分入れ歯は残存歯と接着されているわけではなく、金具で引っ掛けてとまっています。
噛むとその力で沈んだり、横からの力がかかると揺れ動いたりします。
すると金具をかけられた残存歯は引っ張られ過大な負荷がかかってしまいます。
釘抜きのような原理で少しずつ歯が抜ける方向に力がかかるとも言われています。
部分入れ歯は複数の欠損があったりする時には非常にいい欠損補綴方法なのですが、1本失ったときにはあまり有利とは言えないものになります。
ブリッジは欠損歯の両サイドの歯を削ってクラウンとダミーになる歯を連結した補綴物を装着します。ブリッジは基本的には着脱することはなく、固定性の義歯となります。
先述の10年後の隣在歯の生存率は92%と比較的高くなっています。
着脱の必要がなく、装着感も悪くないため患者さんからは人気の治療法になります。
とはいえやはり隣の歯を大きく削るということで、残った歯へのダメージが心配になります。
歯は一度でも削ると強度が大きく落ちます。すでに大型の修復物が装着された歯ならともかく(これも問題があるのですが)ブリッジは無傷の歯を削って作る場合もあるので、せっかく頑丈だった歯を意図的に弱くしてしまっているケースを多く見かけます。
またブリッジは装着感、噛み心地がいいことも問題になります。なんとなく今まで歯があった時のような感覚で噛めてしまいますが、歯が一本足りなくなった以上、その力を負担するのは両サイドの歯になります。
そこに今まで通りの力が加わると、単純計算でも1.5倍程度の負荷がかかってしまいます。
よく「もうあんまり硬いものは噛まない方がいいですかね?」と聞かれることもあり、噛む力というと食事中のことを想像される方が多いかと思います。しかし、最も恐ろしいのは就寝中や作業中など意識が働きにくくなってしまっている際に起こる歯ぎしりや噛み締めによる力です。
例えば今歯が折れてもいいから全力で噛んでみて下さいと言われても、その力はせいぜい自分の体重程度です。これ以上噛んだら危ないと判断し無意識の内にセーブがかかるからと考えられています。しかし歯ぎしりや噛み締めをしている際にはこのセーブがかからず、強い人では体重の5倍ほどの力を出せるとも言われています。
またその力によってブリッジはたわみます。特に宙づりのダミーの歯(ポンティック)にかかった力はブリッジをくの字に曲げるような挙動を示し、できた隙間から少しずつ接着材が流れ出してしまいます。
ごっそり外れてくれたらまだいいのですが、ブリッジは二つ以上の歯を連結固定しているため、片方が実は外れているのにもう片方がしっかりついていて違和感が生じないことが多いです。すると外れている側のクラウンの中で虫歯が進行したり、変な方向から力がかかって折れたりすることにつながってしまいます。
ここまで読むと削ったり、引っ張り回すことがなく他の歯に迷惑をかけることのないインプラントが優れた欠損補綴方法であることは十分理解していただけるかと思います。私自身はブリッジや部分入れ歯を悪だとは思いません。
複数歯が欠損している場合は部分入れ歯をおすすめすることも多いですし、深く考えられた設計の部分入れ歯は残存歯を守る作用を発揮します。
また歯周病で動揺の見られる歯が多ければ部分入れ歯は設計次第で着脱式の暫間固定装置として機能を発揮します。
前歯を失ってしまった時、やはり歯がないまま過ごすのは辛いでしょうし、ブリッジであれば比較的早期に審美性を取り戻すことができます。またセラミック系のブリッジであればポンティック部分も歯肉と調和し、元あった歯以上に自然で美しい歯を作ることも可能です。
深く考えられた部分入れ歯の機能美もセラミックのブリッジの繊細な美しさも保険診療では設計や素材の制限から作ることはできず、治療費に関してはインプラント同様にかかってきてしまいます。
また、これらの治療法にも向き不向きがあり、その適応範囲を超えた治療を行ってしまうと破壊行為になってしまう場合があります。
ここからは部分入れ歯やブリッジがあるなかで、どんな場合にインプラントを行うべきか、どんな点が有利なのかをお伝えしていきます。何度も書いてきたようにインプラントが他と比べて圧倒的に有利なのは他の歯に迷惑がかからないところです。ブリッジのように他の歯を削ることもなければ、金具に引っ張り回されることもありません。
またインプラントは異常がなければ揺れたり動いたりすることがない点もいいところです。
健康な歯も生理的動揺といってわずかに動くようにできているのですが、指で押したりしたぐらいでは動いている感じはわからないレベルです。
奥歯、特に大臼歯のような頑丈でよく噛める歯が歯周病などで揺れ動いてしまっていると、噛んだ時に歯が動いて沈み込んでしまうので、弱い手前の歯が強い奥歯の替わりに噛む力を負担するようになるので、過重によって手前まで悪化してしまうことがあります。
このような場合に欠損している奥歯があればそこにインプラントを入れることで、噛んで沈みこむ状態を回避することができ(バーティカルストップ)その結果前方の歯を保護することができます。
隣の歯が一度も歯科治療を受けたことのない健全な歯であった場合、ブリッジにすると歯の表面をほとんど削ってしまうことになります。歯というものは非常によくできていて、長い人生の中で毎日のように汚され、叩きつけられ、熱いものや冷たいものに晒されていますが、それでも永久歯が生えた6歳ころから平均寿命である80与歳までの約80年間その場所に存在し続け、機能し続けるように作られています。
身の回りのもので80年間ずっと使い続けられる道具はありますか?
家だって何年かに一度は壁を修復したりするでしょうし、車も10年も乗ったら買い換えることが多いでしょう。
もう一度言いますが歯は80年以上使えるようにできているのです。
中でもその外側を覆うエナメル質はとても大事なものです。
エナメル質は人体の組織のなかで最も硬い物質で、鉱物の硬さを現すモース硬度というものがありますがエナメル質のモース硬度は7、ダイアモンドのモース硬度が10で、7は水晶と同等、鉄やガラスよりも硬いと言われています。
硬くて非常に強い物質ですが、長年の使用によって適度にすり減っていきながら口腔内の環境変化に適応していくということですユニークな面も持ち合わせています。
またエナメル質は外胚葉由来の組織です。外胚葉由来の組織で最も代表的なものは人間の皮膚です。
人間の体は体内と体外に分けることができ、血液や骨などが体内、皮膚や胃、腸などが体外に当たります。
胃や腸は体外なの?と思われるかもしれませんが、人体は模式的にかけば筒状でバウムクーヘンのような構造をしており、胃や腸も内側の体外に当たります。
世界は菌だらけです。体外は体内に細菌や異物が入ってくるのを防ぐ役割をしています。
そして皮膚や胃、腸粘膜、口腔粘膜はすべて外胚葉由来の組織でできているのです。
外胚葉由来の組織は生命にとって大切な場所を守るためのバリアといっても過言ではないでしょう。
そして歯のなかでもエナメル質だけが外胚葉由来の組織なのです。
これは歯の内部(象牙質や歯の神経)、さらにはその先にある血管や骨を守るために他ならないのです。
健全な歯を削り倒してブリッジを作るとこのエナメル質はほぼ全て剥がされてしまいます。
自分の歯を削ってしまうのはもったいないとはよく言われますが、なんとなく抽象的な表現のように感じ、割と軽く捉えてしまう方が多いようです。
非常に強固で、かつ適度にすり減り、体内を守る天然のバリアであるエナメル質の替わりは銀歯はおろかセラミックをはじめとするいかなる材料をもってしても不可能なのです。
また歯は一度でも削ると強度低下などから寿命が短くなります。
一度も削られたことのない歯と削ったことのある歯では○○という差がでた研究が存在しています。
ですのでブリッジの適応は理想を言うなら両サイドの歯が虫歯になっていたり、すでに大型の修復物が入っていてエナメル質が少なくなっている歯の場合であると考えています。
エナメル質は非常に硬いのですが衝撃には弱く、特に噛む部分(咬合面)は2mm程度の厚みがないと簡単に破折してしまいます。
なので虫歯治療の際にエナメル質が大切ということに囚われて、薄い部分を残してしまうと逆に歯の寿命を縮めてしまいかねません。
残せるエナメル質が極端に薄い場合は破折防止のために完全に被覆することが多く、欠損部の両サイドがそのような状態であればブリッジをおすすめすることもあります。
欠損部の両サイドの歯が一度も治療をうけていない健康な状態である場合はインプラントが第一選択となるでしょう。
欠損部の隣在歯に大型の修復物が入っている場合、ブリッジもありとお話ししましたが、失活歯の場合は話が変わってきます。
失活歯というのは神経(歯髄)を取ってしまっている歯のことです。
神経は歯の知覚を担っており、冷たい、熱い、触られたなど外的刺激をすべて痛覚と感じます。
そのおかげで(せいで?)虫歯になると歯が痛くなり、気づくことができると言われています。
あまりに大きな虫歯になると激しい痛みを伴うため、一度何も感じれなくするように神経を取ってしまいます(抜髄)
神経を取った歯はしみることがなくなるので先述のブリッジの弊害である治療後の凍みが起きないため一見良さそうに見えますが、神経を取った歯は取っていない歯と比べ強度が大きく落ちます。
神経をとるほどの虫歯であれば歯の崩壊具合いは大きく補綴物も大型になることが多いです。
また神経の治療が終わって残った歯に芯になる土台(ポスト、コア)をたてる必要があるため、1本の歯に自分の歯、保存薬、ポスト、コア、クラウンと様々なパーツが存在することになり、ブリッジや入れ歯によって過大な負荷がかかった際には破折をおこしたり、各パーツの接着部が緩んで外れたり、隙間から虫歯になったりといったトラブルのリスクが上がります。
もう大きく治しちゃった歯だからブリッジでいいや、入れ歯でいいやと考えがちですが、弱い歯が隣にいるからこそ周りに負担をかけないインプラントが有効であると言えます。
手前から第一大臼歯、第二大臼歯という名前で、他の歯と比べてとにかく大きいのが特徴です。
その大きさから噛む力が強く、食物を潰し食べやすくするのに最も活躍する歯です。
特に第一大臼歯は主機能部位と呼ばれ機能的にもっとも重要な歯と考えられています。
しかし奥の方にあって磨きにくいこと、小児期に生えてきたことに気づきにくいこと、過大な負荷がかかることなどから最も失われやすい歯であるとも考えられています。
ブリッジは宙づりのダミーの歯(ポンティック)に力がかかると大きくたわみます。
その距離が長ければ長いほど大きくたわむようにできており、ポンティックの距離が2倍になればたわみは4倍、3倍になれば9倍と距離の2乗程度たわむと言われています。
ポンティックに負担がかかりたわんだブリッジは「く」の字型に曲がり接着剤が流れ出し、外れたり虫歯になったりする可能性が高まります。
最も噛むのに重要で、かつ最も失われる確率の高い第一大臼歯はすべての歯の中で最も前後的な横幅(近遠心的幅径)が長いので他の歯に比べてブリッジを作った際のたわみ量が大きくなります。
![]() |
また第一大臼歯喪失時のブリッジは手前の第二小臼歯、後ろの第二大臼歯を削って作ります。
人の口の構造上、後方に行けば行くほど歯茎の位置が高くなり、相対的に後方の歯ほど歯の見えている部分身長が低くなります。
歯の見えている部分が短いとブリッジが引っかかる面積も少なくなり外れやすくなってしまいます。
身長の低い第二大臼歯にブリッジの片棒を担がせるのも第一大臼歯欠損時のブリッジの不利な点となります。
これらの理由から、同じ歯を一本失った時のブリッジであっても部位によってその予後に大きな差がでると言われています。部分入れ歯もこの場合は不向きです。
部分入れ歯は固定式の装置ではないので、噛めば動きます。沈んだり横揺れしたりします。
もし第一大臼歯1本の欠損に対して部分入れ歯を装着すると、その歯は歯周病で揺れている歯と同じレベルの状態ということになります。
一番しっかり噛んで欲しい第一大臼歯が動揺しているとなると他の歯が頑張らなくてはならなくなり、負担が大きくなってしまします。
しかも両サイドの歯に金具(クラスプ)でひっかけているので、入れ歯が揺れるたびに両サイドの歯は根元を掴まれ内外に揺さぶられます。この根元を掴んで内外に揺さぶるという動作は歯を抜くときの挙動と全く一緒なのです。
親知らずを除いた最後方歯である第二大臼歯を失った場合もブリッジや部分入れ歯は不利になります。
まずブリッジですが、これ以上後ろに歯がない状態なのでブリッジできないじゃないか、と思われるかもしれませんが不可能ではありません。
手前の2本(第二小臼歯、第一大臼歯)を削ってダミーの歯を連結した形で、延長ブリッジや遠心カンチレバー(片持ち梁)ブリッジと呼ばれる治療法です。
![]() |
![]() |
しかしその形態を見てもらえば一目瞭然で、宙吊りにされた第二大臼歯部で食物を噛むとブリッジはそこを軸に回転する力がかかります。手前2本の歯がしっかり接着されていれば歯が抜ける方向に力がかかりますし、接着が弱ってきていれば外れたり虫歯になるリスクが高まります。
この形態は前後に歯があるタイプのブリッジと比べてもはるかに周囲にかかる負担は大きくなります。
部分入れ歯も手前の歯にだけ金具をかける形態になってしまい、噛んだときに入れ歯が沈み込むと手前の第一大臼歯を引き抜く力がかかります。
また片方しかひっかける歯がないので入れ歯が左右に動きます。
反対側に伸ばして安定を求めることも可能ですが、第一大臼歯まであれば違和感なく食事が取れる人が大多数で、左右にわたがる大型の義歯の違和感に耐えれず使用しなくなってしまう方もいます。
以上の要素から大臼歯の欠損に対しては圧倒的にインプラントが他の治療法より有利であると言えるのです。
ここまでは1本の歯が抜けてしまったときの話を中心にしてきましたが、ここからは複数の歯が抜けてしまった場合の話をしていきます。
特に奥歯が連続で2歯以上欠損している場合はブリッジはオススメしません。
先述の通りブリッジはポンティック部の距離が長くなればなるほど大きくたわみ、支えになる歯(支台歯)に大きな負荷がかかるようになってきます。
比較的幅の狭い小臼歯であっても2本連続で欠損すれば、ポンティックの距離はかなり長くなってしまいます。
大型の欠損においては部分入れ歯を推奨することもありますが、両サイドの大臼歯がない場合(両側遊離端欠損)には入れ歯を入れることで欠損が拡大していきやすくなります。
![]() |
![]() |
部分入れ歯は柔らかい粘膜(歯肉)の上に乗っているので、噛むたびに沈みます。
特に後方に自分の歯が残っていない場合にはその沈下量は非常に大きくなります。
するとクラスプが今残っている一番奥の歯を引き抜く力をかけ、歯を失い、また一つ前の歯にかけて…という悪循環に陥ります。
このような場合にもインプラントは非常に有効なものになります。
もちろん失った歯全てをインプラントに置き換えることができるならそれに越したことはないのですが、本数が多くなってくると経済的、体力的、技術的に困難なケースも増えてきます。
こういった場合には部分入れ歯の最後方歯に相当する部位にインプラント体(ネジの部分、フィクスチャ)のみを埋入し、その上に人工歯ではなく金属のフタのようなものを装着し、歯茎から頭を出させておいて、その上に部分入れ歯が乗るようにする、インプラントサポートデンチャー(インプラントが支える入れ歯)という治療法が有効になります。
インプラントは異常がなければ力がかかっても全く揺れたり動いたりしません。後方に歯がない部分入れ歯は噛んだとき粘膜(歯肉)を押して沈むことで様々な弊害をおこすものなので、インプラントとそこに装着された金属のフタで入れ歯が沈み込まないように支えてあげることができるのです。
もちろんブリッジや入れ歯でもインプラントと同等の長期予後が期待できる場合はあります。頭ごなしにインプラントだけが最高の治療かと言えばそうではないでしょう。しかしそれは欠損している場所や残っている歯の状況に大きく左右されると言えます。
インプラントの良い点はたくさんありますが、他の欠損補綴方法と比べ圧倒的に良い点は欠損を拡大しないというところに尽きます。
今歯がないという問題を解決するために将来他の歯を失うリスクを背負う治療は果たして本当に治療と呼べるのでしょうか?
手術の必要性や治療費などから派手な治療のイメージがつきやすいインプラントですが、もっとも予防的な欠損補綴方法だと私は考えます。
インプラントは永遠にもつものではありません、20年トラブルなく過ごせればまずまず良い治療だったと言えるレベルです。
もし今40歳の方がインプラント治療を受けて70歳の時になんの問題もなく機能し続けているかと言われれば難しいかもしれません。
実際定期的な管理を受けた健全な歯は50年で90%以上残せると言われています。
インプラントより自分の健康な歯の方がよっぽど強いのです。
ですので、まずは欠損を生まないこと、これを大切にしています。
そのために欠損の原因となる虫歯や歯周病を予防することに最も力を入れています。
予防歯科、というとフッ素や歯磨き粉、歯のクリーニングを想像されると思いますが、当院ではそこから一歩踏み込んだ、虫歯や歯周病が発生する原因を知ってもらうことや、各患者さんが抱えているリスク因子、そしてそれに合わせた生活習慣の改善などの徹底した予防処置を心がけています。
それでも起こってしまったり、すでにトラブルを抱えている方に対してはありとあらゆる手法を用いて歯を残せるように尽力します。
そこまでしても残すことができなかった歯や、もうすでに失ってしまっていた歯に関しては、欠損を拡大することのないインプラントがベストだと考えています。
治療、予防と線引きすることで、歯の治療が終わってから予防を考え始めるのではなく、予防的な治療をしていく必要があると考えています。その最たるものがインプラントだといっても過言ではないでしょう。
一見贅沢だったり大変そうに見えてしまうインプラントも、崩壊が待つ未来を考えれば第一選択と思えるのではないでしょうか?






























Straumann社
Nobel bio care社
Zimmer社
Astra tech社
入れ歯
インプラント









